Other Dental Procedures In Sevierville, TN

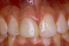
Before: Front (left) Central tooth has a poor restoration. Does not look natural and is not contoured properly to match the gumline of the rest of the teeth.

After: Replaced with an All Porcelain Crown (no metal). Tooth is now contoured to match the rest of the gumline. Restored tooth looks very natural and matches the shape and color of the patient’s teeth.

Patient Photos Depicting:

Crowns (Caps) →

Porcelain Crowns (Caps)→

Note: Patients depicted in photos have provided their consent to display their pictures online. Results may vary.


Before: Patient needs Upper Arch Rehabilitation. Presents with Upper Anterior teeth that are stained, incisal edges (tooth edge) are worn down and chipped, and gumline recession is present.

After: Smile restored with placement of 8 Upper All Porcelain Crowns (Caps). Gumline and incisal edges are now uniform. Patient now has longer, better shaped teeth to enhance the smile line and aid in chewing/biting function.

Patient Photos Depicting:

Porcelain Crowns (Caps)→

Note: Patients depicted in photos have provided their consent to display their pictures online. Results may vary.


Before: Patient needs a Single Tooth Replacent of one Upper Central Incisor.

After: Smile and function restored with a Single Implant and an All Porcelain Crown (Cap) that fits securely over the implant.

Patient Photos Depicting:

Crowns (Caps) →

Dental Implants

Porcelain Crowns (Caps)→

Note: Patients depicted in photos have provided their consent to display their pictures online. Results may vary.


Before: Patient needs Upper and Lower Arch Rehabilitation.

After: Great smile, chewing function, and facial tissue support possible with an Upper Denture that is supported with Implants and Lower Implants and Crowns

Patient Photos Depicting:

Crowns (Caps) →

Dental Implants

Dentures & Partial Dentures→

Porcelain Crowns (Caps)→

Note: Patients depicted in photos have provided their consent to display their pictures online. Results may vary.


Before: Patient has 4 Upper Anterior Crowns (caps) that are poor in color and shape.

After: Smile restored and enhanced with 4 Upper Anterior All Porcelain Crowns. The color/shade matches the patients natural enamel and the two Central Incisors were lengthened to create a more natural smile.

Patient Photos Depicting:

Porcelain Crowns (Caps)→

Note: Patients depicted in photos have provided their consent to display their pictures online. Results may vary.


Before: 3 Unit bridge with chipped porcelain molar (supporting metal showing on molar tooth), poor enamel color match to patient’s natural teeth, and poor fit around the patient’s gumline.

After: Replaced Bridge with an All Porcelain Bridge. The new bridge now also matches the patient’s natural tooth color and was designed to properly fit around the gumline. Proper fit aids in decreasing decay and the ease of the patient’s ability to clean around a bridge.

Patient Photos Depicting:

Fixed Bridges →

Porcelain Fixed Bridges →

Note: Patients depicted in photos have provided their consent to display their pictures online. Results may vary.